Icon Treatment

Are you looking for free downloadable Icon Treatment for your non-commercial projects? You have come to the right place! In this page, you can download any of 34+ Icon Treatment. Additionally, you can browse for other related icons from the tags on topics dental, dentist, faces, infiltration

Most Downloads Size Popular

Views: 1505 Images: 34 Downloads: 1 Likes: 0

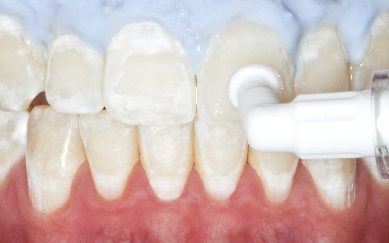
Like 1280x720
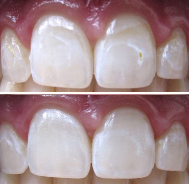
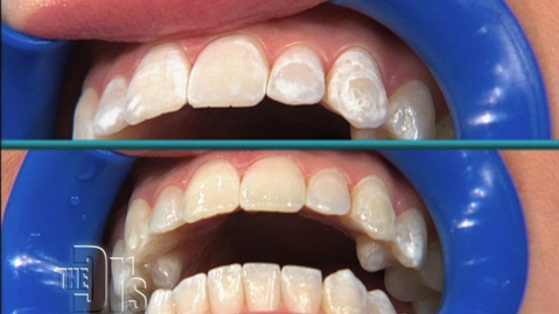
1280x720 Fluorosis Treatment Using Icon Infiltration, Step

Fluorosis Treatment Using Icon Infiltration, Step

0 1

Like 800x550
800x550 Case Photos Family Dentist Church Street Dental Practice Somersham

Case Photos Family Dentist Church Street Dental Practice Somersham

0 0

Like 512x512
512x512 Charity, Free, Health, Hospital, Medical, Public, Treatment Icon

Charity, Free, Health, Hospital, Medical, Public, Treatment Icon

0 0

Like 400x193
400x193 High Oaks Dental Practice

High Oaks Dental Practice

0 0

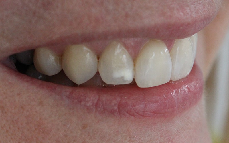
Like 1280x720
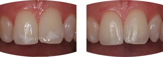
1280x720 How To Remove White Spots On Teeth Icon Dental Treatment Dr

How To Remove White Spots On Teeth Icon Dental Treatment Dr

0 0

Like 400x195
400x195 Icon

Icon

0 0

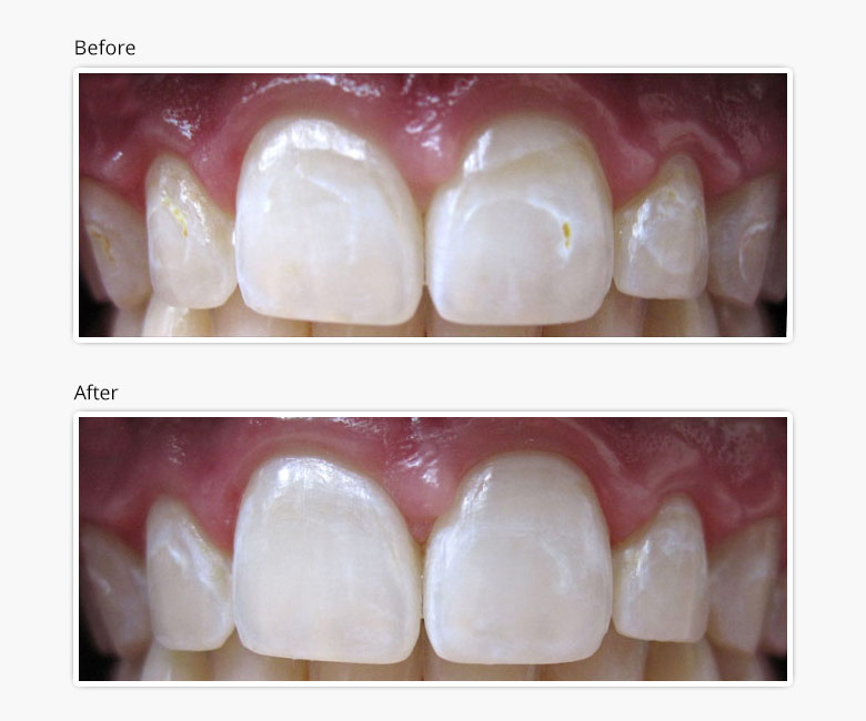
Like 900x600
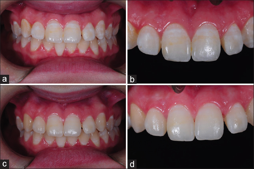
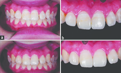
900x600 Icon Treatment Of Post Orthodontic White Spot Lesions

Icon Treatment Of Post Orthodontic White Spot Lesions

0 0

Like 380x252
380x252 Icon Treatment

Icon Treatment

0 0

Like 600x600
600x600 Icon White Spot Removal On Teeth Dr Desiree Yazdan Newport Beach

Icon White Spot Removal On Teeth Dr Desiree Yazdan Newport Beach

0 0

Like 3115x3036
3115x3036 Icon Treatment

Icon Treatment

0 0

Like 800x500
800x500 Icon

Icon

0 0

Like 500x375
500x375 Icon Dental Treatment North York Summit Heights Dental

Icon Dental Treatment North York Summit Heights Dental

0 0

Like 300x300
300x300 Icon Resin Infiltration

Icon Resin Infiltration

0 0

Like 300x300
300x300 Icon Treatment Cosmetic Dentistry Costa Mesa Dentist

Icon Treatment Cosmetic Dentistry Costa Mesa Dentist

0 0

Like 1920x1080
1920x1080 Icon Treatment The Doctors Tv Show

Icon Treatment The Doctors Tv Show

0 0

Like 252x200
252x200 Icon Treatment White Spot Correction Advanced Services

Icon Treatment White Spot Correction Advanced Services

0 0

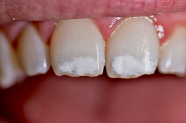
Like 1600x1600
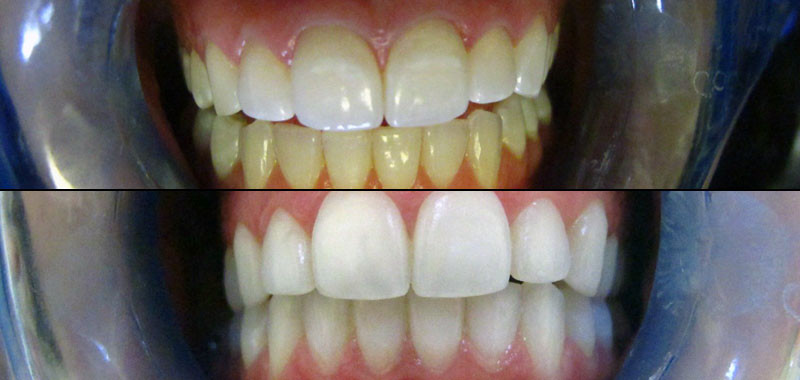
1600x1600 Icon White Spot Treatment

Icon White Spot Treatment

0 0

Like 800x500
800x500 Icon White Spot Treatment

Icon White Spot Treatment

0 0

Like 640x640
640x640 Icon White Spot Treatment

Icon White Spot Treatment

0 0

Like 600x676
600x676 Icon White Spot Treatment Staines

Icon White Spot Treatment Staines

0 0

Like 300x199
300x199 Icon White Spot Treatment In Sutton Coldfield Solihull

Icon White Spot Treatment In Sutton Coldfield Solihull

0 0

Like 655x211
655x211 Icon Treatment Ashford Dental

Icon Treatment Ashford Dental

0 0

Like 700x214
700x214 Icon

Icon

0 0

Like 638x622
638x622 Caries Treatment Dentist In Muscatine, Ia

Caries Treatment Dentist In Muscatine, Ia

0 0

Like 200x200
200x200 Medical Treatment Icons

Medical Treatment Icons

0 0

Like 780x650
780x650 No Drilling

No Drilling

0 0

Like 800x380
800x380 Photos After Teeth Whitening Treatment Spring Creek Dental

Photos After Teeth Whitening Treatment Spring Creek Dental

0 0

Like 809x538
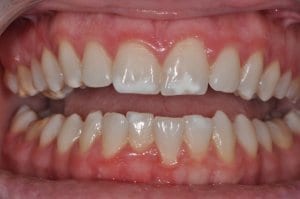
809x538 View Image

View Image

0 0

Like 650x230
650x230 White Spots With Icon Faces And Smiles

White Spots With Icon Faces And Smiles

0 0

Like 879x430
879x430 White Spots With Icon Faces And Smiles

White Spots With Icon Faces And Smiles

0 0

Like 1280x720
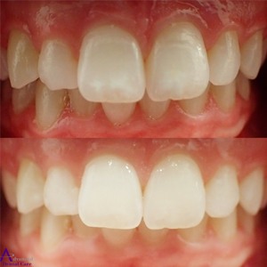
1280x720 White Spot Treatment Using Infiltration With Icon

White Spot Treatment Using Infiltration With Icon

0 0

Like 485x292
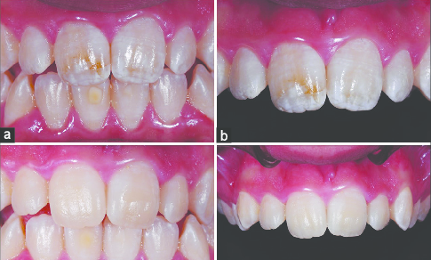
485x292 A And B Pt Before Treatment

A And B Pt Before Treatment

0 0

Like 485x292
485x292 A And B Pt Before Treatment

A And B Pt Before Treatment

0 0

Like 640x800
640x800 Invasive Treatment Of White Spots

Invasive Treatment Of White Spots

0 0

Tags: treatment

shutterstock

All rights to the published graphic, clip art and text materials on Vectorified.com belong to their respective owners (authors), and the Website Administration is not responsible for their use. All the materials are for personal use only. If you believe that any of the materials violate your rights, and you do not want that your material was displayed on this website, please, contact the Administration and we will immediately remove the copyrighted material.